Tooth Infection Treatment: Get Fast Relief Now

It usually starts as a dull, localized ache. You might notice a slight twinge when you sip your morning coffee or bite into a cold apple. You brush it off, hoping it will disappear. But within days—or sometimes hours—that minor annoyance transforms into a relentless, throbbing pain that radiates through your jaw, keeps you awake […]
Can a Root Canal Get Infected? 5 Warning Signs

You finally got that painful tooth fixed. You sat through the root canal procedure, breathed a sigh of relief when the numbness wore off, and thought you were entirely out of the woods. But fast forward a few months—or perhaps even a few years—and a familiar, throbbing ache starts creeping back into the exact same […]
Root Canal vs Tooth Removal: Save or Pull?

We have all been there, or at least we all dread being there. It usually starts as a faint twinge—a slight sensitivity when you sip your morning coffee or bite into something sweet. But then, seemingly overnight, that twinge escalates into a relentless, throbbing ache that makes it impossible to sleep, work, or even think […]
Emergency Root Canal Treatment: Fast Pain Relief

Imagine waking up in the middle of the night to a throbbing, unrelenting pain radiating from your jaw. You try adjusting your pillow, taking a sip of water, and massaging your cheek, but the agony refuses to subside. If you are experiencing this level of severe tooth pain, your body is sending you a glaring […]
What to Expect During a Root Canal: A Pain-Free Guide

Let’s be honest—few phrases strike as much fear into the hearts of dental patients as “you need a root canal.” For decades, pop culture and outdated stories have painted this routine procedure as the pinnacle of dental agony. But if you’ve recently been told you need root canal therapy, take a deep breath. We are […]
4 Tooth Abscess Causes to Know

Imagine waking up in the middle of the night with a relentless, throbbing pain radiating from your jaw. It’s a sharp, persistent ache that makes it impossible to sleep, eat, or even think clearly. You might also notice a swollen face or a foul taste in your mouth. If this sounds familiar, you could be […]
Tooth Abscess Treatment: Stop the Pain & Save Your Smile

Few things in life are as universally disruptive as a sudden, relentless toothache. It starts as a dull ache, perhaps a slight sensitivity to your morning coffee, but soon morphs into a throbbing pain that keeps you awake at night. If this sounds familiar, you might be dealing with a tooth abscess—a serious dental infection […]
Cracked Tooth? Stop the Pain & Save Your Smile Fast

Picture this: you are enjoying a relaxing dinner at your favorite restaurant in Madison, New Jersey. You bite down on a piece of crusty artisanal bread or mistakenly chomp onto an unpopped popcorn kernel, and suddenly—zing. A sharp, shooting pain radiates through your jaw. The pain fades quickly, leaving you to wonder if you imagined […]
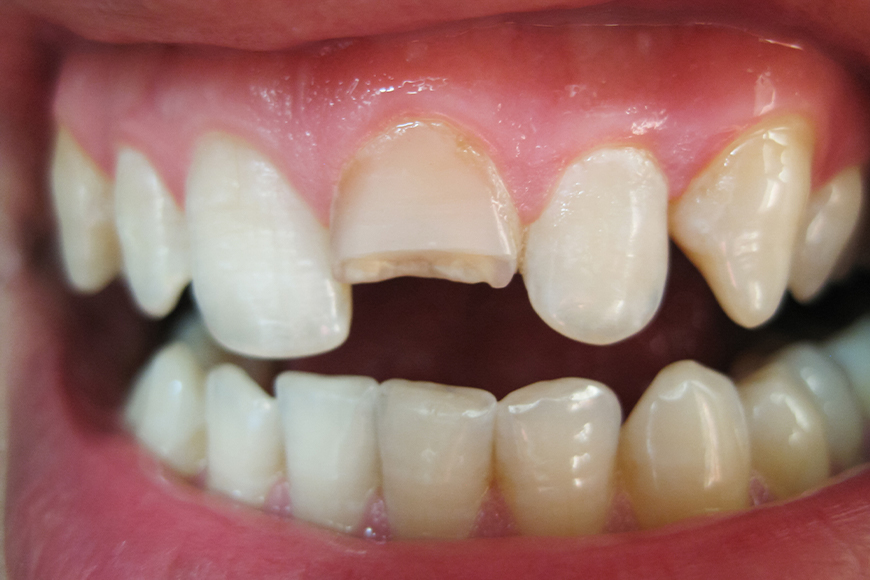
Chipped Tooth? How to Fix Your Smile Fast

It happens in a split second. Maybe you were crunching down on a piece of ice, took a spill during a weekend soccer game in Madison, or simply bit into a seemingly harmless popcorn kernel. Suddenly, you feel it—that jagged, unnatural edge where your smooth tooth used to be. The panic sets in immediately. Is […]
Emergency Root Canal Specialist: Same-Day Relief in Madison

Imagine it is 2:00 AM on a Tuesday. You are jolted awake by a throbbing, relentless pain deep in your jaw. You try cold compresses, over-the-counter painkillers, and pacing the floor, but nothing helps. By sunrise, the side of your face is swollen, and even the slightest breath of air makes the tooth scream in […]